Smile Gallery
Making people both healthier and happier about their smiles is one of the best things about our job. Here are some patients before & after dental makeovers to show what Kalaheo Dental Group can do for your smile.
 
 
After many years of feeling self conscious about his smile, this patient chose to correct his crowding with clear aligners. He now feels more confident and proud to show off his new smile after his Invisalign and professional whitening services.
 
 
A nasty wipeout fractured this avid bodysurfers tooth so badly that it could not be saved. With a dental implant and custom cosmetic crown, Dr. Michael Lutwin was able to replace her tooth and get her smile back again.
 
 
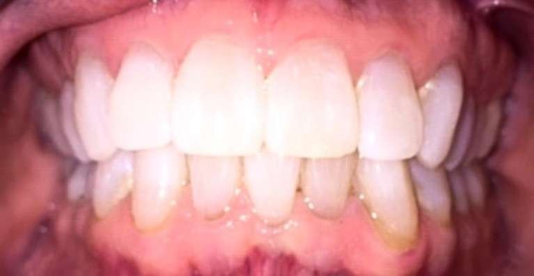
Lots of wear and tear had weakened this patients teeth over time and he was becoming concerned about their appearance. By using strong, cosmetic porcelain crowns, Dr. Lutwin was able to address this patient’s wishes to both make his teeth stronger and his smile more attractive. Now, every time we see this wonderful patient he says: “I should have done this a long time ago!”
 
 
Many of us can neglect ourselves when we’re busy taking care of others. Some years had gone by since this patient was able to see a dentist, and she confessed to being more than a little fearful about dental visits in the past. Concerned with keeping her teeth and making her smile more attractive for an upcoming family event, this patient came to Kalaheo Dental Group. Though a combination of cosmetic porcelain crowns and veneers, Dr. Lutwin was able to quickly, and without discomfort, transform her teeth into the strong and beautiful smile which she is now proud ...
 
 
Teeth often get darker and worn down or shorter through day to day activities. This patient was concerned about her smile and wanted a brighter, more youthful appearance. Being in sales, she thought a better smile may give her more of an edge with her clients. With cosmetic porcelain crowns and veneers, Dr. Lutwin was able to whiten and lengthen her teeth, giving her the vibrant smile she had wished for.
 
 
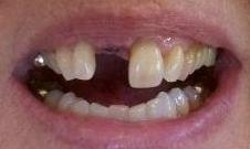
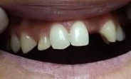
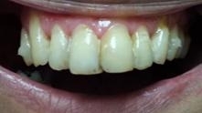
Some of this wonderful patients adult teeth never developed and as a result, for years she still had an anterior baby tooth on one side and a space on the other side. The time had finally come for her to do something for herself and she asked Dr. Lutwin to help improve her smile. Though she may consider implants one day, after discussing many options, Dr. Lutwin helped her gain confidence in her smile in an affordable way by using cosmetic porcelain crowns and bridges to replace her missing teeth and make her smile one that she is now ...
 
 
Concerned about his appearance and that some of his teeth “needed help”, this artist chose to have Dr. Lutwin whiten and make his smile more ideal for him, using cosmetic porcelain crowns and veneers. This patient was so happy, he gave us a wonderful landscape painting of his to hang in the office!
 
 
This wonderful neighbor of Kalaheo Dental Group felt that her smile had changed over the years, and she wanted some sparkle back! She’d grown concerned that her teeth had darkened and that spaces were becoming more apparent. Using cosmetic porcelain veneers, Dr. Lutwin was able to create an ideal smile for her. Tears were flowing…happy ones….after she got the smile she had been dreaming about for some time. It is always rewarding treating friends and neighbors of our Kalaheo Dental Group team.
 
 
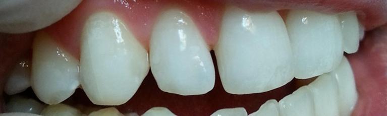
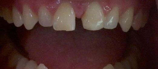
This great patient of ours already had a wonderful smile, but it always bothered him that his front teeth showed dark spaces. Using strong, thin “no-prep” cosmetic porcelain veneers, Dr. Lutwin was able to solve this problem for him and do so without any shots or drilling. “No-prep” porcelain veneers are a great, conservative way to address certain cosmetic concerns, and worked well to take this patient's smile from good to awesome!
 
 
This athlete had cracked and chipped his teeth from lots of hard play! He felt it was time to do something about that and also fix the large space between his teeth which always bothered him. After discussing his options and deciding against braces, the patient decided to ask Dr. Lutwin to make a strong and attractive smile using cosmetic porcelain crowns and veneers. Dr. Lutwin was able to do so using very conservative techniques, with only very minimal adjustment of the patient’s natural teeth. Now happily married, this patient is thrilled with his new smile.
 
“I really like going to Kalaheo Dental. Everybody is always friendly and makes me feel comfortable when I go. They explain everything to me in a way that I can understand and they always make sure I'm okay. Getting braces has been easy because Kalaheo Dental takes great care of me.”
 
 
 
 
  
  
  
  
 
 
