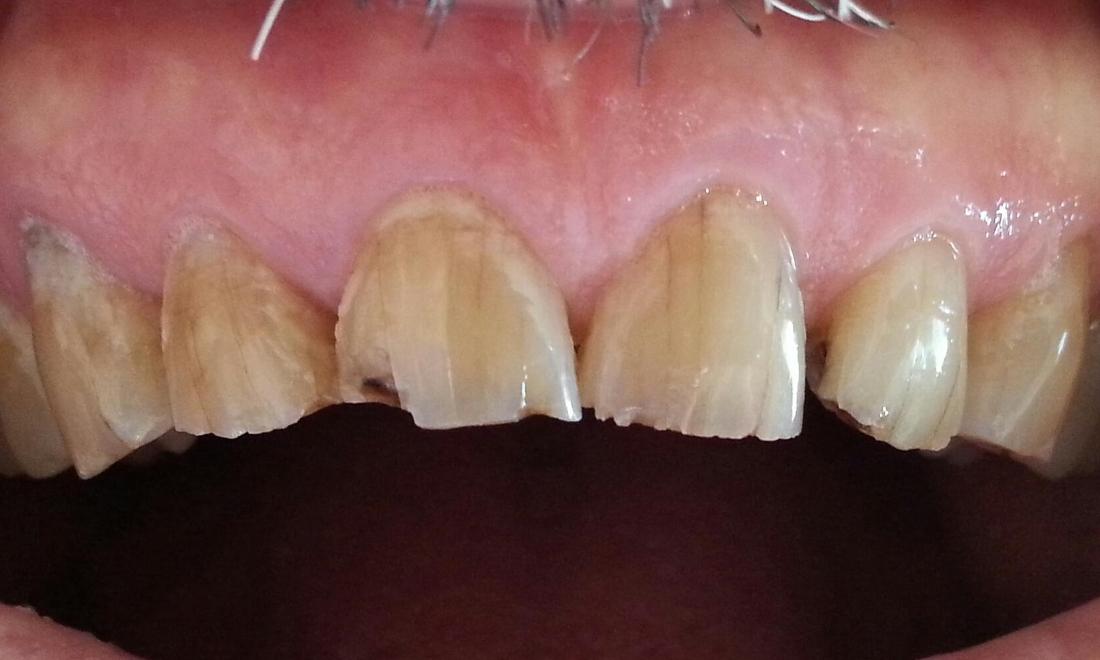
Lots of wear and tear had weakened this patients teeth over time and he was becoming concerned about their appearance. By using strong, cosmetic porcelain crowns, Dr. Lutwin was able to address this patient’s wishes to both make his teeth stronger and his smile more attractive. Now, every time we see this wonderful patient he says: “I should have done this a long time ago!”
If you have difficulty using our website, please email us
or call us at (808) 332-9445
View the ADA Accessibility Statement
 
 
 
 
  
  
  
  
 
 
 
 
